Jak se poznat, že je zub mrtvý? Příznaky a co dělat, když zub zemřel

Jak se poznat, že je zub mrtvý? Příznaky a co dělat, když zub zemřel led, 24 2026

Zubní symptomy test

Tento test vám pomůže určit, zda máte příznaky mrtvého zubu. Pokud máte alespoň 2 z následujících příznaků, je nejvyšší čas navštívit stomatologa. Nečekejte, až se infekce rozšíří.

Rezultát

Doporučení

Výsledek

Chcete vědět, jestli máte mrtvý zub? To není otázka, kterou si každý den kladeš. Ale když se začneš ptát, je to často už pozdě. Mrtvý zub se neobjeví najednou - postupně ztrácí život, a tělo ti posílá signály, které často ignoruješ. Možná to je jen malá bolest, která zmizí, nebo zub se začne tmavit, a řekneš si: „To se přece přihodí každému.“ Ale to není pravda. Mrtvý zub není jen nekrásný - je nebezpečný.

Co vlastně znamená, že je zub mrtvý?

Zub není jen tvrdá hmotnost. Uvnitř má zubní nerv - soubor nervů, cév a tkání, které mu dodávají život. Když je tento nerv poškozen nebo infikován, zub přestává přijímat krev a živiny. Bez krevního oběhu ztrácí nerv život - a zub se stává mrtvým. Neznamená to, že zmizí. Zůstane na místě, ale už nečiní nic. A to je přesně ten problém.

Mrtvý zub se nebojí tepla, chladu ani sladkého. Už nevědějí, že je tam. Ale kolem něj se může začít šířit infekce. Bakterie se rozšiřují do čelisti, do dásní, do krevního oběhu. A to už není jen otázka zubu. Je to otázka celého těla.

Co ukazuje, že zub může být mrtvý?

Není jediný příznak, ale spousta malých věcí, které se sčítají. Pokud jich máš více než dva, měl bys zkontrolovat zub u stomatologa - nečekat, až bude bolet ještě víc.

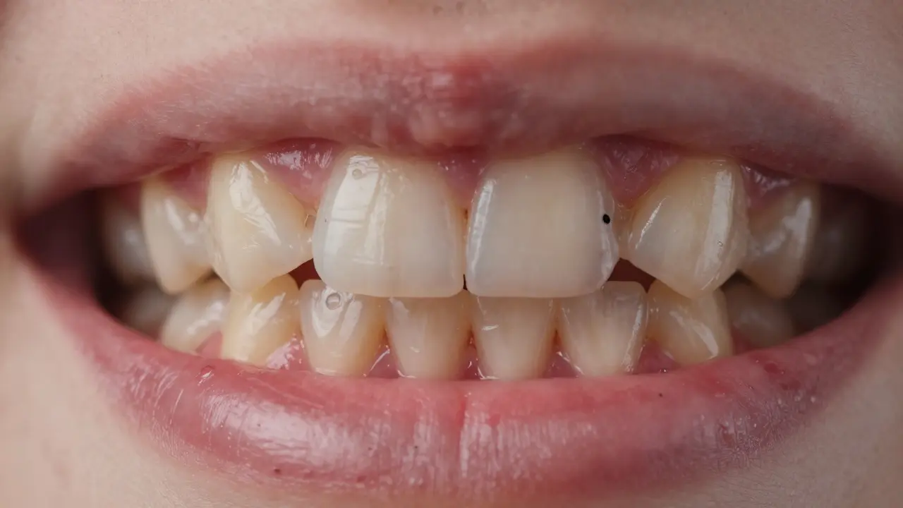
  • Zub se tmaví. Nejen šedivě, ale skoro černě. To je nejviditelnější znamení. Zub ztrácí svou přirozenou bílou barvu, protože krevní cévy uvnitř zemřely a krev se rozložila. Tmavý zub není jen estetický problém - je to signál, že životní proces uvnitř přestal.
  • Nečekaná bolest. Někdy zub bolel, pak přestal. To je častý případ. Když nerv zemře, bolest zmizí - a lidé si myslí, že je všechno v pořádku. Ale bolest se jen přesunula. Nyní se infekce šíří do kosti kolem kořene. A pak přijde druhá vlna - ostrá, hluboká, trvající hodiny. To je už absces.
  • Zápach z úst. Pokud máš stálý zápach, i když si čistíš zuby, čistíš jazyk a používáš ústní vodu, je to často příznak infekce uvnitř zubu. Bakterie rozkládají mrtvé tkáně a vydávají pach, který není možné odstranit běžnou hygienou.
  • Zánět dásní. V okolí zubu se může objevit otok, červenost nebo dokonce hnisavý výpotek. To není jen zánět dásní - to je zánět u kořene zubu. Stává se to, když infekce vnikne do kosti. Můžeš cítit, že ti „dolů“ v čelisti něco pulzuje.
  • Zub je citlivý na tlak. Když na něj kousneš, nebo když ho lehce stiskneš prstem, cítíš hlubokou bolest. To je proto, že infekce v kořeni způsobuje tlak v kosti. Zub už nemá nerv, ale kost kolem něj ano - a ta bolejí.

Tyto příznaky se neobjeví všechny najednou. Někdo má jen tmavý zub a nic jiného. Jiný má bolest, ale neví, odkud přichází. Až přijdeš k stomatologovi, ukáže se, že problém trvá měsíce. Nečekání je největší chyba.

Proč se zub stává mrtvým?

Není to náhoda. Mrtvý zub vzniká z nějakého důvodu. Nejčastější příčiny:

  • Hluboká zubní škára. Když se zubní kaz dostane až k nervu, bakterie ho infikují. Pokud se to nezachytí včas, nerv zemře.
  • Zlomenina nebo úraz. I když zub neztratíš, můžeš ho poškodit tak, že se přetrhne krevní céva. To se stává při dopadech, sportovních úrazech nebo i při nešťastném zatlačení na zub.
  • Dlouhodobý bruxismus. Když se při nočním škrábání nebo stisku zubů přetěžuje nerv, může se postupně poškodit. To není okamžitý problém, ale po letech může vést k nevratnému poškození.
  • Nedostatečná péče. Pokud necháš zubní kazy nezachycené, zub se postupně „zakyslí“ a zemře. Ne každý zub se ztratí hned - některé zuby se mrtví pomalu, během několika let.

Nejčastější chyba? Lidé si myslí, že když zub nebolel, je v pořádku. Ale mrtvý zub často nebolel vůbec - až když se infekce rozšířila.

Vnitřní struktura mrtvého zubu s infekcí šířící se do čelisti.

Co dělat, když máš mrtvý zub?

Není možné ho „oživit“. Když je nerv mrtvý, neexistuje lék, který by ho obnovil. Ale můžeš zastavit škodu.

  1. Navštiv stomatologa. Nečekat. Pokud máš tmavý zub, zápach nebo otok - jdi hned. Nejde o estetiku. Jde o infekci, která může poškodit kost, šířit se do mozku nebo způsobit sepsi.
  2. Zubní kanálky. Většinou je řešením endodoncie - očištění zubu zevnitř, odstranění mrtvé tkáně a zapečetění kanálků. Zub zůstane na místě, už nebude bolet, a můžeš ho chránit korunkou.
  3. Extrakce. Pokud je zub příliš poškozený, nebo pokud se infekce rozšířila do kosti, nemusí být možné ho zachránit. V takovém případě se zub vyjme. Potom je třeba zvážit náhradu - most, implantát nebo zubní protéza.
  4. Antibiotika. Pokud je infekce aktivní, stomatolog ti může předepsat antibiotika. Ale to není řešení - to je jen dočasná opatření. Bez očištění zubu se infekce vrátí.

Nejlepší scénář: zub je mrtvý, ale infekce je ještě malá. V takovém případě se endodoncie podaří s úspěšností přes 90 %. Čím dříve to uděláš, tím větší šance na zachování zubu.

Co se stane, když to necháš?

Největší nebezpečí není ztráta zubu. Je to to, co se děje kolem něj.

Infekce se šíří do čelistní kosti. Vzniká absces - hnisavý váček, který může prasknout a způsobit hnisání v obličeji. Někdy se infekce dostane do krku, do plic nebo do krevního oběhu. V extrémních případech to může vést k sepsis - život ohrožujícímu stavu.

Nezapomínej na důsledky pro ostatní zuby. Infekce z mrtvého zubu může poškodit sousední zuby. Kost kolem zubu se začne rozpadat. A pak se stane, že místo jednoho mrtvého zubu máš tři nebo čtyři, které už nelze zachránit.

A co s estetikou? Tmavý zub v záběru je nezaměnitelný. Dokonce i když ho zapečetíš, může zůstat tmavý. Proto se často doporučuje korunkování - pokrytí zubu keramickou korunkou, která ho zviditelní a ochrání.

Změna obličeje způsobená skrytou infekcí v čelisti.

Když už máš mrtvý zub, jak ho chránit?

Po léčbě je důležité, aby zub nezůstal slabý. Mrtvý zub je křehký. Bez nervu a krevního oběhu se neobnovuje. Je jako dřevo, které ztratilo vláhnu - snadno se rozbije.

  • Po endodoncii se vždy doporučuje korunkování. Bez ní máš 50% šanci, že zub praskne během pár let.
  • Nečekej, až bude bolet. Mrtvý zub nemusí bolet, ale může se rozbít při běžném kousnutí.
  • Používej zubní nit a jemnou kartáček. Mrtvý zub se nekazí znovu, ale kolem něj se může vytvořit kámen nebo zánět.
  • Pravidelné kontroly každých 6 měsíců. Stomatolog uvidí, jestli se kolem zubu nezačíná rozpadat kost.

Co se stane, když zub necháš mrtvý bez léčby?

Je to jako nechat poškozený kabel v zdi. Nevidíš ho, ale když se přetíží, spálí to celý dům.

U mrtvého zubu bez léčby se stává:

  • Infekce se šíří do kosti - kost se začne rozpadat.
  • Vzniká hnisavý váček - může prasknout a způsobit otok obličeje nebo hnisání v krku.
  • Zub se uvolní - ztrácí podporu v kosti.
  • Infekce se dostane do krevního oběhu - může způsobit zánět srdce, plic nebo mozku.
  • Příští léčba bude dražší a složitější - často je třeba odstranit i sousední zuby.

Není to jen o zubu. Je to o tvém zdraví.

Co můžeš udělat dnes?

Nečekat. Pokud máš některý z těchto příznaků - tmavý zub, zápach, otok, bolest, citlivost na tlak - jdi k stomatologovi. Neříkej si: „Zatím to nebolelo.“ Mrtvý zub nebolel, než se infekce rozšířila.

Nezapomeň: mrtvý zub neznamená konec. Znamená to, že je čas na akci. A akce dnes může zabránit komplikacím za rok.

Může mrtvý zub bolet?

Mrtvý zub sám o sobě nebolejí - nerv uvnitř už není živý. Ale okolní tkáně, jako kost nebo dásně, mohou bolet, pokud se infekce rozšíří. Bolest, která se objeví po tom, co zub přestal bolet, je často příznak, že infekce pokročila.

Je možné mrtvý zub zachránit?

Ano, pokud je infekce včas zastavena. Léčba zubními kanálky (endodoncie) odstraní mrtvou tkáň a zub zapečetí. Po této léčbě může zub sloužit ještě desítky let, pokud je chráněn korunkou.

Může mrtvý zub způsobit infekci v jiných částech těla?

Ano. Bakterie z infikovaného zubu mohou vstoupit do krevního oběhu a způsobit zánět srdce (endokarditidu), plic nebo dokonce mozku. I když je to vzácné, je to možné - a proto je léčba mrtvého zubu důležitá.

Je tmavý zub vždy mrtvý?

Ne vždy. Tmavost může být způsobena i jinými věcmi - například příliš silným fluoridovým příjmem, tmavými nápoji nebo zubními plomby. Ale pokud se zub tmaví bez viditelného důvodu a zároveň máš jiné příznaky, je pravděpodobné, že je mrtvý.

Můžu mrtvý zub ošetřit doma?

Ne. Žádné domácí prostředky - ani zubní pasta, ústní voda, sůl nebo česnek - nezvládnou infekci uvnitř zubu. Pouze stomatolog může zub očistit a zapečetit. Domácí metody mohou dočasně zmírnit příznaky, ale nezastaví infekci.